0755-28894021
当前位置:首页 > 干细胞新闻 >

干细胞治疗

干细胞联合疗法治疗复发性视神经炎:3个月双眼视野提升31.1%和45.7%,患者自述视力有所改善

来源: 发布日期:2026-03-12 浏览次数:355次

近日,有学者发表了一项关于自体干细胞联合疗法治疗1例视神经炎病例报告,文献显示,该患者接受治疗后3个月,右眼视野指数(VFI)提升31.1%,左眼提升45.7%,此外,患者自述视力有所改善。


干细胞治疗


视神经炎是一种视神经炎症性疾病,可导致单眼或双眼急性或亚急性视力障碍,分为复发性视神经炎和单次发作性视神经炎。其中复发性视神经炎是临床关注的重点类型,特征是炎症反复发作,导致视力下降、视野进行性缩小、对比敏感度降低和色觉减退。

其潜在病理生理机制包括免疫介导的髓鞘和轴突损伤,最终导致累积性神经元损伤和不可逆的轴突丢失。视神经炎可单独发生,也可与其它自身免疫性疾病相关,例如多发性硬化症和视神经脊髓炎谱系障碍。


视神经炎


有研究显示,大剂量静脉用皮质类固醇能加快急性发作时的视力恢复,但其反复使用易引发多种全身性副作用。硫唑嘌呤等免疫调节剂可替代类固醇,而难以逆转的视神经损伤,对这类常规疗法反应均较差。

大量研究证实,自体生物分子在视网膜和视神经疾病治疗中效果显著。富血小板血浆(PRP)可促神经再生,外泌体兼具营养递送与抗炎作用,干细胞能多维度修复眼部损伤,且眼睛免疫特权让干细胞移植无需长期免疫抑制。

本文报告了一例复发性视神经炎病例,患者接受PRP、外泌体和自体干细胞治疗。据了解,这是少数采用自体生物疗法治疗类固醇耐药性复发性视神经炎相关病例研究之一。

患者资料:40岁男性,有复发性视神经炎病史,左眼视力下降7年、右眼近一个半月视力下降,病程中多次发作视神经炎,伴急性无痛性视力模糊及其它视神经功能障碍,予以高剂量静脉糖皮质激素治疗仅获短期视力恢复,后病情仍呈复发性进展。

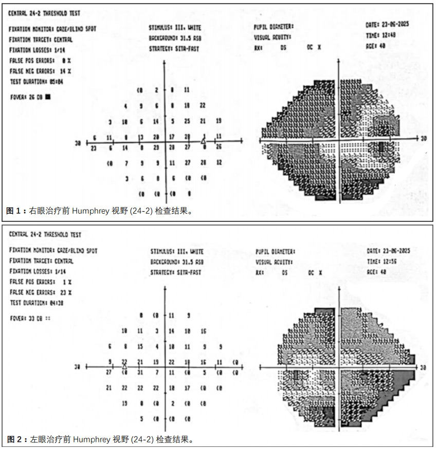
眼科检查显示,双眼远视力右眼6/6(部分)、左眼6/6,近视力均为N-5,色觉及对比敏感度下降,视野严重缩小、敏感度下降(图1、2)。右眼存在相对性传入性瞳孔障碍,视盘边缘模糊;左眼视盘萎缩。


视神经炎临床试验


方 法:每周静脉注射20ml PRP和外泌体,共进行3次;最后一次注射后一周,双眼后鞘内、眼球后及静脉注射患者自体干细胞。鞘内和眼球后部注射各2毫升,每次约500-600万个干细胞,所有操作均在无菌条件下完成,无并发症报告。

结 果:一个月后复查时显示,双眼视野均有显著改善,Humphrey视野分析模式24-2和10-2分别如图3(右眼)和图4(左眼)所示。患者在主观测试中也表示色觉和对比敏感度显著提高,视力稳定。


视神经炎临床试验


三个月随访时,双眼视野均显著改善,所有视野参数,包括VFI和平均偏差值(表1),均获得相应改善,患者还报告中心视野和旁中心视野敏感度均有所提高。


视神经炎临床试验


随访期间,患者最佳矫正中心视力稳定在6/6,但患者自觉视力较治疗前有所改善。此外,他还注意到色觉持续改善,对比敏感度明显增强。治疗期间直至随访结束,患者无需使用任何皮质类固醇或免疫抑制剂治疗,也未报告复发。

总 结:尽管这些结果令人鼓舞,但这仅仅是一个病例报告,还需要更大规模、更长时间随访的对照研究来验证其疗效、持久性和安全性。

尽管如此,这位对类固醇治疗无效患者的持续康复表明,自体干细胞联合疗法可能是一种有前景的辅助或替代疗法,可用于治疗复发性视神经炎。


参考资料:

Mirza HA, Karamat MI, Abbas Z, Jahangir K. Sustained Visual Field Recovery Following Autologous Stem Cells and Exosomes Based Therapy in Recurrent Optic Neuritis – A Case Report. 2026;42(1):1-5. Doi:10.36351/pjo.v42i1.2272.

在线咨询

  • 预约咨询

  • 微信咨询

    微信咨询